Pancreatic cancer cell atlas highlights why many promising treatments fail
Most detailed spatial map reveals local environment role driving basal cell development, and discovers intermediate tumour subtypes
Most detailed spatial map reveals local environment role driving basal cell development, and discovers intermediate tumour subtypes

The most detailed atlas of tumour cells from the deadliest form of pancreatic cancer has been developed by an international team of researchers, and the findings uncover how tumour cells change their behaviour depending on their surroundings—and why many promising treatments fail in standard lab tests.
The research is a joint collaborative effort led by the University of Birmingham, University Hospitals Birmingham NHS Foundation Trust in the UK, and the pharmaceutical company Bristol Myers Squibb. Published in Cell Reports, their findings describe the most detailed spatial map to date of pancreatic ductal adenocarcinoma (PDAC).
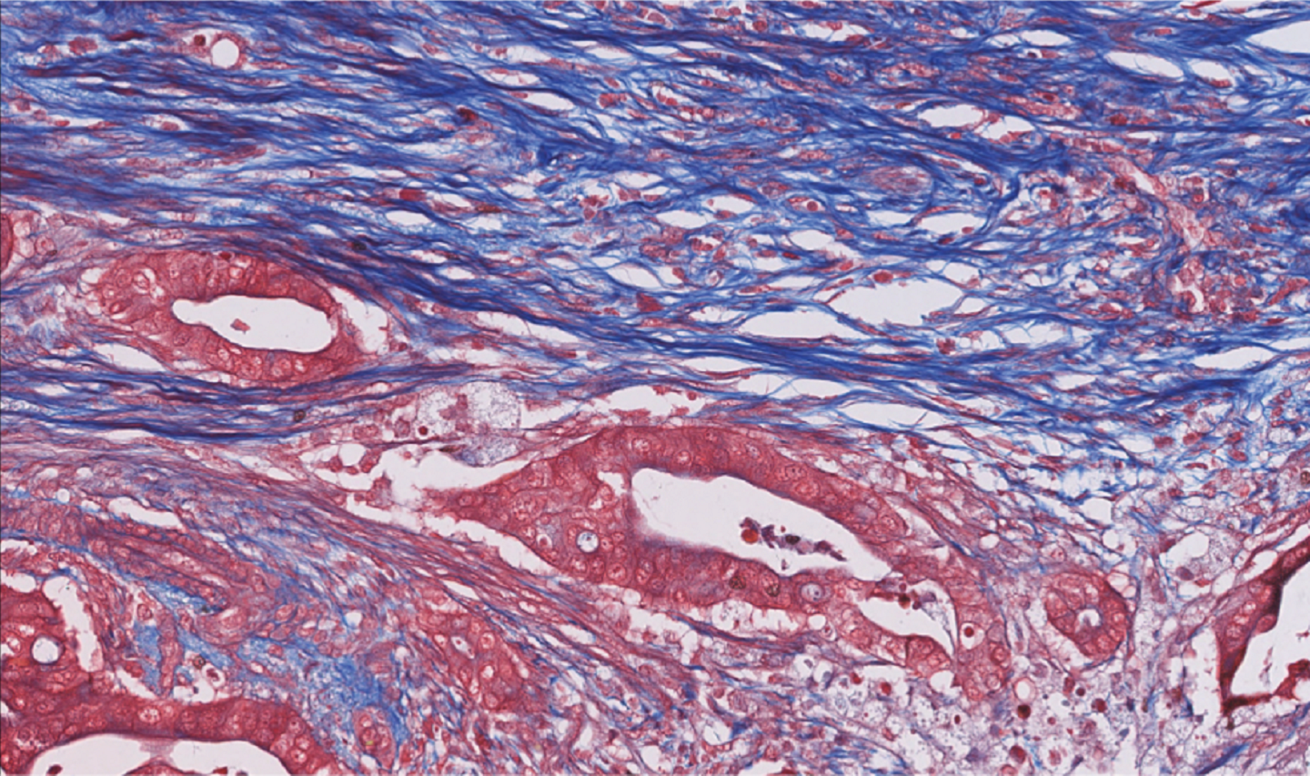
In the study, researchers analysed tumour samples from 39 untreated pancreatic cancer patients, using cutting-edge spatial transcriptomics technologies that allow scientists to see which genes are active in cells and exactly where those cells are located in the tumour. This approach generated a massive dataset—hundreds of thousands of spatial measurements and more than half a million individual cells—creating a comprehensive “atlas” of pancreatic cancer tissue.
Pancreatic cancer remains one of the hardest cancers to treat, with few effective therapies and a five-year survival rate in the single digits. A major reason is the disease’s complexity: cancer cells are embedded in a dense, hostile tissue environment filled with scar-like material, low oxygen, and supportive cells that help tumours survive.
.... we have created a roadmap for discovering therapies that target pancreatic cancer more effectively....
Dr Shivan Sivakumar, co-senior author from the University of Birmingham and consultant medical oncologist at University Hospitals Birmingham NHS Foundation Trust said: “This spatial atlas is expected to serve as a foundational resource for the research community and may accelerate the development of treatments for a disease that has long resisted progress.
“By integrating spatial biology with functional genetic screening, we have created a roadmap for discovering therapies that target pancreatic cancer more effectively—especially combination treatments designed to disrupt both cancer cells and the environments that protect them.
“The findings suggest that environmental factors play a much greater role in tumour cell development in the pancreas, and identifies new intermediate tumour subtypes and highly proliferative cancer cells which together provide a more vivid picture of this deadly cancer.”
Dr. Konstantinos Mavrakis, Executive Director and Head of Discovery Biosciences Oncology at Bristol Myers Squibb and co-senior author of the publication emphasizes the importance of scientific collaborations: “This study underscores how important it is to use real-world patient data to better understand the underlying causal human biology of a specific cancer type such as pancreatic cancer.”
Key findings:
About the University of Birmingham